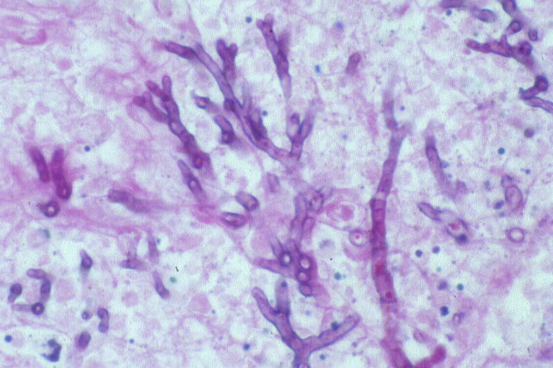
One Health: EU agencies unite to tackle azole fungicide resistance in Aspergillus fungi
Aspergillus fungi may become more resistant to necessary antifungal treatments if azole fungicides (azoles) are used extensively, especially in certain horticultural and agricultural applications. With assistance from the Joint Research Centre (JRC) of the European Commission, the five EU health and environment agencies have released a study that highlights this important discovery. To combat this escalating threat, the Agencies worked together within a One Health framework.
AMR NEWS
Your Biweekly Source for Global AMR Insights!
Stay informed with the essential newsletter that brings together all the latest One Health news on antimicrobial resistance. Delivered straight to your inbox every two weeks, AMR NEWS provides a curated selection of international insights, key publications, and the latest updates in the fight against AMR.
Don’t miss out on staying ahead in the global AMR movement—subscribe now!



